Web-Vet TM Neurology Specialists



Multiple Cranial Nerve Dysfunction
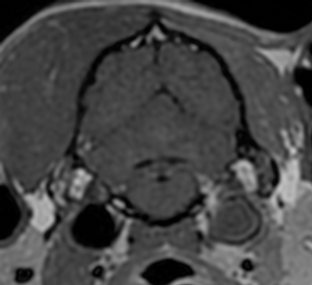
Jugular Foramen Syndrome: Concurrent Neurological Deficits, Advanced Imaging Findings, Underlying Diagnoses, and Outcomes in 14 Dogs (2016–2024)

Jugular foramen syndrome (JFS), dysfunction of cranial nerves (CNs) IX, X, and XI caused by lesions involving the jugular foramen (JF), is rarely reported in dogs.
The aim of this study was to describe presenting complaints, neurologic findings, advanced imaging findings, underlying diagnoses, and outcomes in dogs with JFS.
Affected dogs were older (median age, 9.9 years; range, 7.9–14.5 years) and presented with chronic progressive clinical signs. Common presenting complaints included coughing (7/14), retching (6/14), head tilt (5/14), and laryngeal stridor (4/14). Neurologic abnormalities were noted in 11/14 dogs, with CN deficits (10/11), including unilateral laryngeal paralysis (5/10) and tongue atrophy (4/10), being the most common finding. Additional signs included head tilt (7/11) and postural reaction deficits (5/11). Intracranial lesions were identified in 10/14 dogs, with meningioma being the most frequent radiologic or histopathologic diagnosis. In dogs with extracranial lesions (4/14), thyroid carcinoma was common. Median survival time was 218 days (range, 16–477 days).